職位推薦
- 珍格醫療-臨床銷售 15001-20000
- 地奧制藥-醫藥代表 6001-8000
- 普利德醫療-醫療設備銷售經理 面議
- 大唐-兼職招商經理 面議
- 景德中藥-直營經理 6001-8000
- 安邦醫藥-省區招商經理 8001-10000
- 恒瑞醫藥-醫藥信息溝通專員 6001-8000
- 黃河中藥-學術講師 8001-10000
發布日期:2025-11-10 瀏覽次數:13
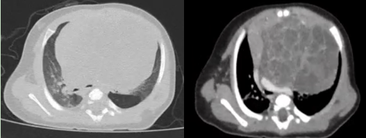
近日,一名僅2月齡、體重只有5.2kg的男嬰,因胸悶、呼吸困難來華西醫院小兒外科徐暢主任醫師處就診。經CT檢查發現,其縱隔內有一個巨大腫塊,最大直徑 7.4×6.0cm,像胸腔里長一個巨大的“石榴”,嚴重壓迫心臟、左主支氣管及肺動脈,不盡快摘除,隨時可能引發呼吸循環衰竭,危及生命。

患兒胸部CT影像
患兒極端年幼、體重低、縱隔腫瘤巨大壓迫了重要臟器……面對這樣一個麻醉手術風險極高的“高難度病例”,徐暢主任醫師立即啟動多學科協作機制。小兒外科、麻醉手術中心、心臟大血管外科、重癥醫學科等聯合組成多學科團隊(MDT),針對患兒的具體情況進行了周密討論和術前評估。
此次手術的最大挑戰在于圍手術時期的麻醉管理。腫瘤嚴重壓迫心臟和大氣道,患兒在誘導麻醉、建立氣道及循環管理過程中存在隨時心跳驟停或呼吸道完全阻塞的風險。為此,朱濤教授帶領麻醉手術中心團隊提前預演了多種可能出現的緊急情況,針對患兒制定了詳盡的氣道管理與循環支持緊急預案。同時協調好人員安排,準備好特殊器械,梳理圍手術期流程,為手術順利實施提供保障。“對這樣體重只有5公斤的嬰兒,氣道很小,腫瘤又壓迫心臟和支氣管,我們在麻醉誘導的每一步都如履薄冰,幾乎沒有犯錯的余地。” 麻醉科左云霞主任醫師回憶道。
小兒外科主刀醫生徐暢主任醫師與心臟大血管外科賃可主任醫師聯合設計腫瘤切除手術方案,并且準備萬一麻醉插管失敗后需立即開通體外循環的備用方案,為孩子爭取時間。重癥醫學科ECMO團隊全體待機,負責術后監護和支持治療,為手術安全保駕護航。

麻醉科朱濤教授、左云霞教授、何裔主治醫師及麻醉團體正在為患兒麻醉

麻醉體外循環團隊備機中
手術當天,麻醉插管團隊、體外循環團隊、外科手術團隊、手術室護理團隊、重癥監護團隊全體“待機”等待手術開始。隨著麻醉順利實施、手術團隊終于直視到那個幾乎充滿前縱隔的巨大腫瘤。經過1個小時的精細操作,腫瘤被完整切除,壓迫解除。在多學科團隊的密切配合下,手術順利完成。經重癥醫學科監護治療,患兒順利轉回普通病房。
隨后,小兒外科護理團隊根據患兒年齡、生理特點及術式差異,精心制定個體化的呼吸護理方案,從單人病房避免術后交叉感染、呼吸功能評估、體位管理到吸痰、霧化及早期呼吸訓練等環節均細致落實,確保術后肺功能的恢復與呼吸道通暢,為患兒順利康復提供了堅實保障。術后患兒呼吸、精神、飲食都恢復良好,目前已順利出院。
經術后病理診斷被確診為不成熟畸胎瘤,患兒需要術后長期隨訪,小兒外科將通過完善的隨訪機制,結合線上及線下門診,對患兒出院后的恢復過程進行多學科的長期、動態追蹤。

小兒外科徐暢主任醫師、心臟大血管外科賃可主任醫師正為患兒實施手術
此次手術的成功救治再次體現了華西醫院在兒童疑難危重癥救治中的綜合實力,醫院將繼續堅持“以患者為中心”,不斷提升多學科協作水平,為更多危重患兒帶來生的希望。
300多萬優質簡歷
17年行業積淀
2萬多家合作名企業
微信掃一掃 使用小程序
